CONDITIONS
- Adult Forearm Fractures
- Arthritis of the Hand
- Arthritis of the Thumb
- Arthritis of the Wrist
- Boutonnière Deformity
- Brachial Plexus Injuries
- Carpal Tunnel Syndrome
- Congenital Hand Differences
- De Quervain's Tenosynovitis
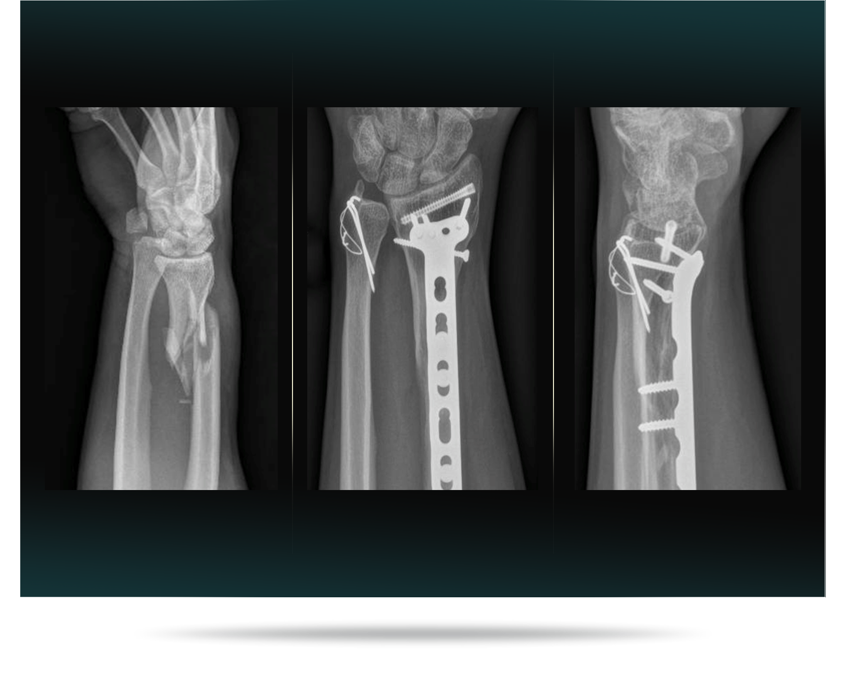
- Distal Radius Fractures (Broken Wrist)
- Dupuytren's Disease
- Finger Fractures
- Fingertip Injuries and Amputations
- Flexor Tendon Injuries
- Frostbite
- Ganglion Cyst of the Wrist and Hand
- Hand Fractures
- Hamate Fracture of the Wrist
- Kienböck's Disease
- Mallet Finger
- Nerve Injuries in the Hand and Fingers
- Scaphoid Fracture of the Wrist
- Smartphone Tendinitis
- Sprained Thumb
- Thumb Fractures
- Trigger Finger
- Thumb Base Arthritis
- Ulnar Tunnel Syndrome of the Wrist
- Wrist Sprains
PROCEDURES
- Arthroscopic Partial Wrist Fusion
- Carpal Tunnel Release Surgery
- Cubital Tunnel Syndrome Surgery
- Extensor Tendon Repair
- Finger Joint Fusion
- Finger Joint Implant
- Flexor Tendon Repair
- Hand Fracture Treatment
- Hand Therapy
- Microvascular Surgery
- Nerve Decompression
- Neuroma Surgery
- Non-Surgical Treatment
- Open Carpal Tunnel Release Surgery
- Other Peripheral Nerve Decompression Surgeries
- Peripheral Nerve Repair
- Thumb CMC Joint Arthroplasty
- Thumb CMC Joint Denervation
- Wrist Arthroscopy
- Wrist Fracture Treatment
- Wrist Ligament Reconstruction
- Xiaflex
CALL US TODAY
Phone: (314) 336-2555
Fax: (636) 812-6163
CHESTERFIELD LOCATION
14825 N. Outer Forty Rd., Suite 200
Chesterfield, MO - 63017
SOUTH COUNTY LOCATION
12122 Tesson Ferry Rd., Suite 100
St. Louis, MO - 63128
OPEN HOURS
Mon - Fri: 8:00am - 5:00pm
Sat - Sun: Closed
